審美歯科
更新:2025/12/16
あなたの好みのセラミックの色は?

みなさまはセラミックの歯の色はどう選びますか?
セラミック治療で多くの方が気にされるのが「色」。
白すぎても不自然に見えるし、黄色っぽいとせっかく治療しても満足しづらい…そんな絶妙なバランスが求められます。
セラミックの良いところは、自分の歯の色に合わせて細かく調整できること。
色味の明るさだけでなく、透明感・グラデーション・質感まで再現できるため、自然な仕上がりにしやすいのが特徴です。
ホワイトニングとの併用も選択肢!
周りの歯が暗めの場合、セラミックだけ明るくすると不自然になることがあります。
当院では必要に応じて、先にホワイトニングを行い、全体の明るさをそろえてからセラミックを作ると、よりきれいに整います。
当院では必要に応じて、先にホワイトニングを行い、全体の明るさをそろえてからセラミックを作ると、よりきれいに整います。
生活スタイルなども考えた色味
生活習慣やメイクの好み、普段の表情の雰囲気なども色の見え方に関係します。
「より自然な歯の色重視」「写真で映える白さが好き」など、仕上がりのイメージを考えて作ることも大切です。
「より自然な歯の色重視」「写真で映える白さが好き」など、仕上がりのイメージを考えて作ることも大切です。
あなたがセラミックにするなら?
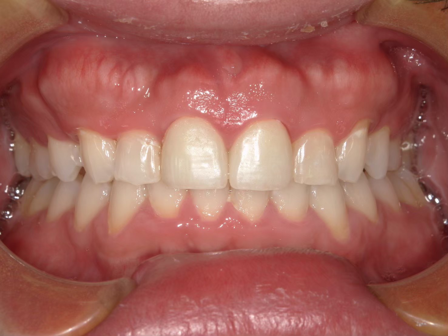
30代女性
上の前歯6本セラミック

30代男性
真ん中の前歯2本セラミック

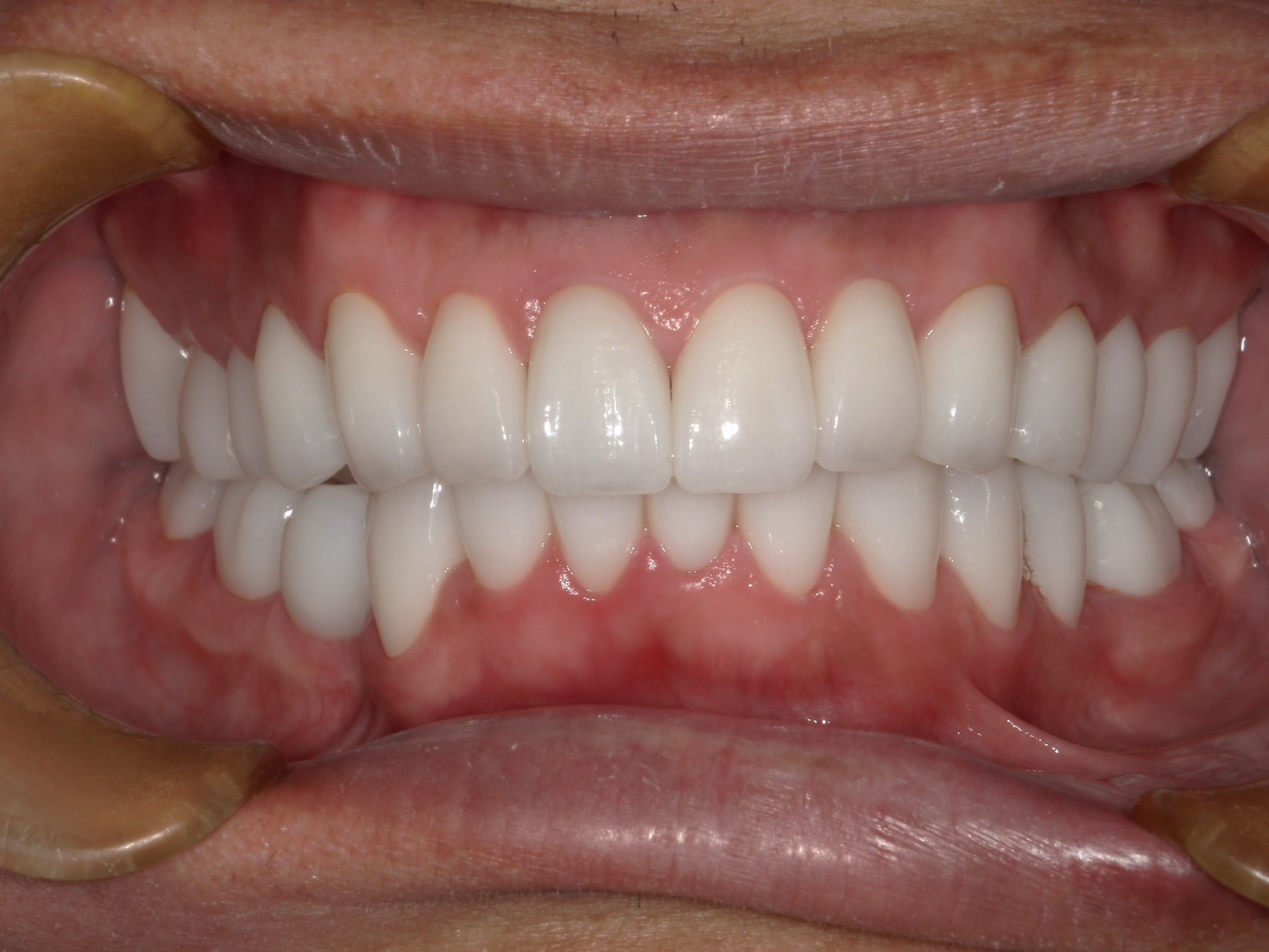
40代男性
上下全ての歯がセラミック

【リスク】
• 強い力で欠けたり割れたりすることがある
• 装着直後にしみる・違和感が出る場合がある
• 歯を削る必要があり、元には戻せない
• まれに神経の治療が必要になることがある
• 噛み合わせによっては周囲の歯に負担がかかる場合がある
• ケア不足で歯ぐきが炎症を起こすことがある
この3つの写真。実は全て色が違います。
当院では、セラミックを作る前に一度仮歯に置き換えて歯の形なども決めてから、色見本(シェードガイド)で一緒に決めてお作りします。
患者様の肌の色や歯茎の色、周りの歯の明るさを見ながら、どの白さが一番自然に見えるか、どんな形を患者様が好むのかを一緒に確認します。
上の前歯6本セラミック

30代男性
真ん中の前歯2本セラミック

40代男性
上下全ての歯がセラミック

【リスク】
• 強い力で欠けたり割れたりすることがある
• 装着直後にしみる・違和感が出る場合がある
• 歯を削る必要があり、元には戻せない
• まれに神経の治療が必要になることがある
• 噛み合わせによっては周囲の歯に負担がかかる場合がある
• ケア不足で歯ぐきが炎症を起こすことがある
この3つの写真。実は全て色が違います。
当院では、セラミックを作る前に一度仮歯に置き換えて歯の形なども決めてから、色見本(シェードガイド)で一緒に決めてお作りします。
患者様の肌の色や歯茎の色、周りの歯の明るさを見ながら、どの白さが一番自然に見えるか、どんな形を患者様が好むのかを一緒に確認します。
自然で美しいセラミックで笑顔が増えるお手伝いをします。
セラミックの色選びは、自然さと美しさを左右する大切な治療です。
当院では、周りの歯やお顔全体の雰囲気に合わせながら、患者様1人ひとりにぴったりの色味を丁寧にご提案しています。
『デンタルクリニックピュアで治療してよかった』と思っていただけるよう、患者さまの笑顔づくりをこれからも丁寧にサポートさせて頂きます。
当院では、周りの歯やお顔全体の雰囲気に合わせながら、患者様1人ひとりにぴったりの色味を丁寧にご提案しています。
『デンタルクリニックピュアで治療してよかった』と思っていただけるよう、患者さまの笑顔づくりをこれからも丁寧にサポートさせて頂きます。
関連ページ
デンタルクリニックピュア恵比寿
https://www.dc-pure.com/ebisu/service/cosmetic_dentistry
デンタルクリニックピュア伊勢原
https://dc-pure-isehara.jp/service/cosmetic_dentistry
https://www.dc-pure.com/ebisu/service/cosmetic_dentistry
デンタルクリニックピュア伊勢原
https://dc-pure-isehara.jp/service/cosmetic_dentistry
この記事を書いた人

- 歯科衛生士
- 普段は歯科衛生士としてお仕事をし、患者様の治療に入る中で、「ここで治療をしてよかった!」「もっと早く治療をすればよかった」「綺麗になって嬉しい」など沢山の嬉しいお言葉をいただけるように尽力しております。今後もPURE GROUPをよろしくお願い申し上げます。
最新の投稿
審美歯科2025年12月16日あなたの好みのセラミックの色は?
インプラント2025年12月16日デンタルクリニックピュア伊勢原は、全国ネットワークの「あんしんインプラント」と提携しています。
ホワイトニング2025年12月5日着色はついたらいけないの?見た目だけじゃない意外な影響をご説明!
予防歯科2025年12月5日寝起きの口臭の原因は!?
CLINIC INFORMATION
デンタルクリニック ピュア恵比寿
- 住所
- 東京都渋谷区恵比寿1-7-13 只見ビル2F/5F
- 診療時間
-
月~金 10:00~20:00(昼休憩なし)
火(月1回) 10:00~21:00(昼休憩なし)
土・日・祝 午前 10:00~13:00
土・日・祝 午後 14:00~17:30
今月の診療スケジュールはこちら
デンタルクリニック ピュア伊勢原
- 住所
- 神奈川県伊勢原市板戸 267-6
- 診療時間
-
月・火・木・金 午前 10:00~13:00
月・火・木・金 午後 14:00~18:30
土 午前 10:00~13:00
土 午後 14:00~17:30
水・日・祝 休診
今月の診療スケジュールはこちら
公式サイト
デンタルクリニックピュア
https://www.dc-pure.com/
ピュアビューティー
https://www.dc-pure.com/pure-beauty/








